Portfolio de Rafael Galán Romero, con secciones sobre Biología IES y Buitre Negro en Sierra Pelada. Biología IES: descubre recursos didácticos para profesorado y alumnado. Buitre Negro/Sierra Pelada: con informes, libros y artículos científicos y de divulgación

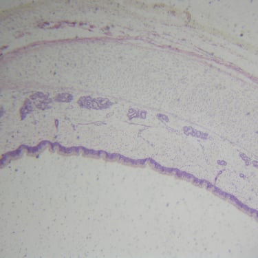
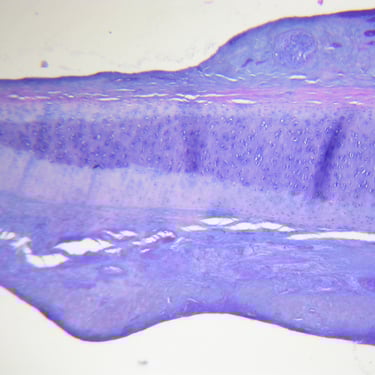
Tráquea

Tráquea

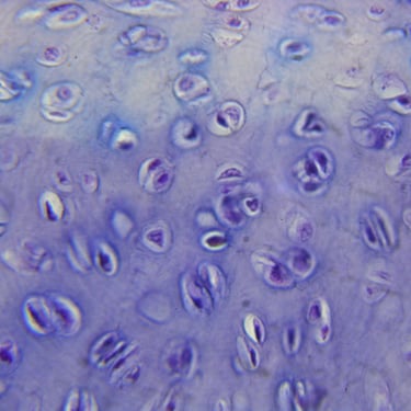
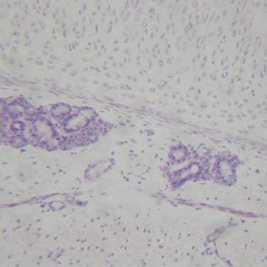
Bronquio con cartílago

Bronquio con cartílago

Bronquio con cartílago

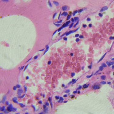
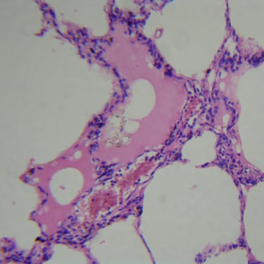
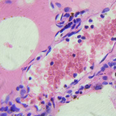
Pulmonía

Pulmonía

Pulmonía